60-527 POZNAŃ, UL. STASZICA 2/15
tel 61-830-15-42
endoskopia.mazur@gmail.com
Strona Główna
Badania
Cennik
Galeria
Informacje
Kontakt
Galeria
Gabinet
Certyfikaty
Obrazy endoskopowe
o Gabinecie
Celiakia
Choroba Leśniowskiego-Crohna
Choroba refluksowa
Krwawienie
Nowotwory przewodu pokarmowego
PEG
Polipowatość
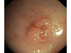
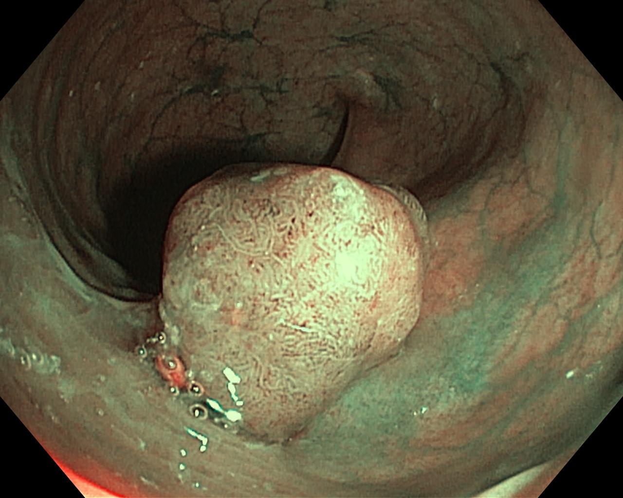
Polipy
Przełyk Barretta
Różności endoskopowe
Uchyłki
Uszkodzenie śluzówki po...
Wrzód trawienny
Zabiegi endoskopowe
Zapalenie wrzodziejące...
Zmiany łagodne
Zylaki przełyku
Polipy
więcej