60-527 POZNAŃ, UL. STASZICA 2/15
tel 61-830-15-42
endoskopia.mazur@gmail.com
Strona Główna
Badania
Cennik
Galeria
Informacje
Kontakt
Galeria
Gabinet
Certyfikaty
Obrazy endoskopowe
o Gabinecie
Celiakia
Choroba Leśniowskiego-Crohna
Choroba refluksowa
Krwawienie
Nowotwory przewodu pokarmowego
PEG
Polipowatość
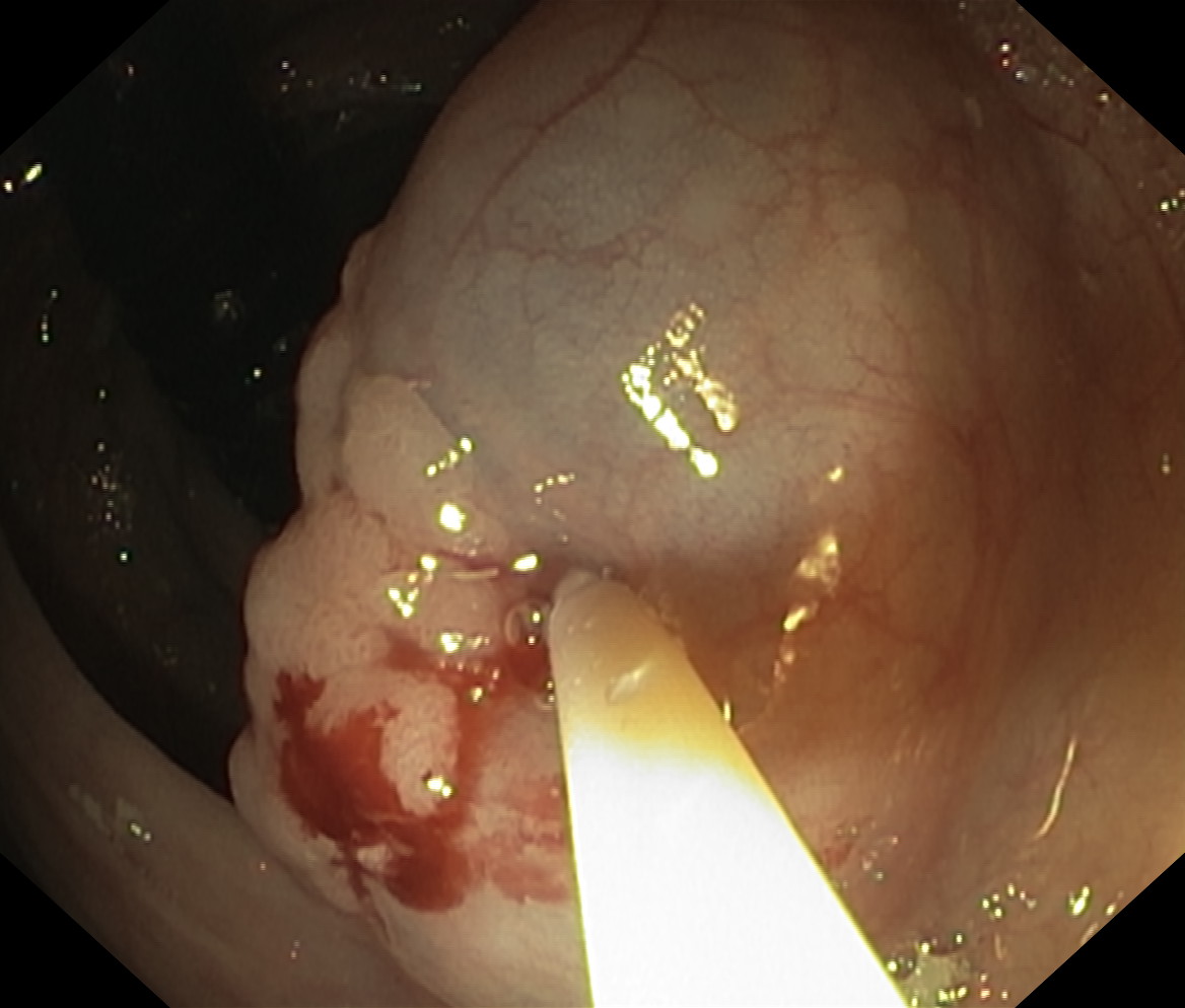
Polipy
Przełyk Barretta
Różności endoskopowe
Uchyłki
Uszkodzenie śluzówki po...
Wrzód trawienny
Zabiegi endoskopowe
Zapalenie wrzodziejące...
Zmiany łagodne
Zylaki przełyku
Zabiegi endoskopowe
więcej